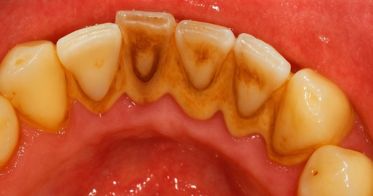
Você já sentiu aquela textura áspera ou viu manchas amareladas nos seus dentes, mesmo após escová-los? Isso pode ser o temido tártaro, um problema que afeta milhões de pessoas e vai muito além de uma simples questão estética. Ele é o resultado do acúmulo de biofilme – uma comunidade de bactérias que se adere à superfície dos dentes – que, com o tempo, endurece. Mas não se preocupe: você não está sozinho nessa batalha, e a boa notícia é que há maneiras simples e eficazes de combatê-lo, tanto em casa quanto com a ajuda de um profissional.
Neste artigo, vamos conhecer sobre o tártaro e do biofilme, desvendando o que eles são, por que se formam e, mais importante, como você pode preveni-los e removê-los. Você descobrirá a ciência por trás de uma boca saudável, conhecerá a importância de ingredientes naturais e, no final, aprenderá uma receita caseira simples e poderosa que pode ser a chave para manter seus dentes limpos e brancos, garantindo um sorriso confiante e radiante.
O Que É Tártaro e Por Que Ele Ameaça a Sua Saúde Bucal?

Muitas pessoas confundem tártaro com placa bacteriana, mas eles são diferentes. A placa é o primeiro estágio, uma camada mole e pegajosa de bactérias que se forma constantemente sobre os dentes. Se essa placa não for removida pela escovação e uso do fio dental, ela se mineraliza e endurece, transformando-se em tártaro.
O tártaro, também conhecido como cálculo dentário, não é apenas uma questão de aparência. Por ser poroso, ele se torna um esconderijo perfeito para mais bactérias, que produzem ácidos e toxinas. O tártaro é uma placa dental, na verdade, estamos falando de algo chamado biofilme, que é uma combinação de estruturas de cálcio que abrigam bactérias. Essencialmente, as bactérias usam essa camada dura de cálcio para se protegerem.
A formação de tártaro está diretamente ligada à presença de biofilmes em nossa boca. Cerca de 95% das bactérias na natureza vivem em biofilmes. Você pode ter notado biofilmes em outros lugares: aquela sensação escorregadia em uma pedra de rio é um exemplo perfeito. É uma estratégia de sobrevivência das bactérias, e na nossa boca, com a presença da saliva, os biofilmes se proliferam. Quando em excesso, eles podem causar uma série de problemas, como mau hálito crônico, inflamação nas gengivas (gengivite), retração gengival e, em casos mais graves, até a perda dos dentes.
A Ciência da Prevenção: Como Combatemos o Biofilme?
A melhor forma de lidar com o tártaro é prevenindo sua formação. Isso envolve entender como as bactérias se comportam e como podemos interromper seu ciclo de vida. Felizmente, a natureza e a ciência nos oferecem diversas ferramentas para isso.
O Poder do Xilitol
Uma das formas mais eficazes de combater o biofilme é usando o xilitol. O xilitol é uma substância cujas moléculas pertencem à função dos álcoois, nesse caso, o álcool de açúcar. Ele não só adoça, mas também possui propriedades antibiofilme que impedem as bactérias de aderirem aos seus dentes. O xilitol confunde as bactérias, que tentam absorvê-lo, mas não conseguem metabolizá-lo, o que as impede de produzir os ácidos que levam à cárie e à formação de tártaro.
Incluir gomas de mascar e adoçantes que contenham xilitol na sua rotina pode fazer uma grande diferença. Mas atenção: certifique-se de que a concentração de xilitol é alta o suficiente para ser eficaz. A mastigação da goma também estimula a produção de saliva, que é a defesa natural do corpo contra os ácidos e as bactérias.
Heróis Naturais contra o Tártaro
Além do xilitol, a natureza nos presenteia com uma farmácia de compostos que ajudam a inibir o crescimento do biofilme. Ervas e especiarias como alecrim, cravo, tomilho, óleo de orégano, alho e a canela são conhecidos por suas propriedades antimicrobianas. “Substâncias naturais com propriedades antibiofilme, como o alecrim, o cravo, o tomilho, o óleo de orégano, o alho, a curcumina, que é encontrada na cúrcuma, a canela e um composto chamado NAC, que é a N-acetilcisteína, e podem, sim, ajudar a reduzir os biofilmes.”
Incorporar esses ingredientes em sua dieta pode contribuir para a saúde bucal. A curcumina, por exemplo, presente na cúrcuma, é um potente anti-inflamatório. O alho contém alicina, um composto com forte ação antibacteriana. Esses elementos podem ser usados em chás, receitas culinárias ou até mesmo em enxaguantes bucais caseiros, sempre com moderação e a orientação de um profissional.
A Receita Caseira Poderosa que Combate o Tártaro

Agora, vamos à receita que pode revolucionar sua rotina de higiene bucal. Ela utiliza apenas três ingredientes simples, mas extremamente eficazes, que você provavelmente já tem em casa ou pode encontrar facilmente.
Ingrediente 1: Bicarbonato de Sódio – O Neutralizador de Ácidos
O bicarbonato de sódio é a estrela dessa receita. Sua principal função é neutralizar os ácidos produzidos pelas bactérias do biofilme. O bicarbonato de sódio é importante porque biofilmes, especialmente aqueles que se desenvolvem ao redor dos dentes, como o tártaro, podem produzir muitos ácidos. Quando o pH da boca cai muito, ou seja, fica muito ácido (entre 3.5 e 5.5), o corpo começa a remover o cálcio dos dentes, um processo conhecido como desmineralização ou descalcificação. Essa é a porta de entrada para a cárie.
Os maiores culpados pela acidez bucal são o açúcar e os carboidratos refinados. Se você consome muito açúcar ou é diabético, está basicamente alimentando as bactérias e leveduras que compõem esses biofilmes. Eles produzem ácido lático como subproduto, e o pH diminui, tornando o ambiente ideal para a extração de cálcio dos dentes e o surgimento de cáries. O bicarbonato de sódio age como um amortecedor, elevando o pH para um nível seguro e dificultando o crescimento das bactérias.
Além disso, esses microrganismos usam o cálcio como abrigo. O bicarbonato de sódio ajuda a aumentar o pH e a quebrar os biofilmes. O mais impressionante é que é interessante notar que o bicarbonato de sódio é produzido naturalmente pela saliva para neutralizar os ácidos. Isso significa que você está apenas reforçando um mecanismo de defesa que seu corpo já possui, o que torna o uso do bicarbonato de sódio seguro e com virtualmente nenhum efeito colateral.
Ingrediente 2: Peróxido de Hidrogênio – O Oxidante Poderoso
O segundo ingrediente é o peróxido de hidrogênio, mais conhecido como água oxigenada. Certifique-se de usar peróxido de hidrogênio de 3%, que você pode encontrar e comprar na farmácia. Esta substância é um excelente agente oxidante, capaz de inibir o desenvolvimento de biofilmes e eliminar uma grande variedade de microrganismos.
O peróxido de hidrogênio é excelente para inibir o desenvolvimento de biofilmes e matar bactérias, leveduras e Cândida, ou seja, todos esses microrganismos. Sua ação de liberação de oxigênio é fatal para as bactérias anaeróbicas que se escondem no biofilme. Além de combater o tártaro, o peróxido de hidrogênio ajuda a clarear os dentes, removendo manchas superficiais.
Assim como o bicarbonato, outro aspecto interessante do peróxido de hidrogênio é que o corpo o produz naturalmente na saliva. É um composto importante que as células usam para matar microrganismos. Portanto, estamos apenas fornecendo ao corpo o que ele já produz naturalmente, mas em quantidades maiores.
Modo de Preparo e Uso: Simples e Eficaz
Preparar e usar esta solução é incrivelmente fácil, e pode ser incorporado à sua rotina diária de higiene bucal.
Instruções:
- Pegue um copo e adicione cerca de meio copo de água limpa.
- Adicione 1/4 de colher de chá de bicarbonato de sódio e misture bem até dissolver.
- Adicione 1/4 de colher de chá de peróxido de hidrogênio (3%).
- Com sua escova de dentes, molhe as cerdas na solução e escove seus dentes, gengiva e língua, focando nas áreas onde o tártaro costuma se acumular.
É importante ressaltar que essa técnica não substitui a escovação regular com pasta de dente. Use sua escova de dentes para escovar os dentes após usar a pasta de dente normal. Simples assim. A solução caseira atua como um reforço, uma limpeza extra que aprofunda a ação da sua higiene diária. Isso ajudará a evitar que os biofilmes continuem se formando e manterá seus dentes lisinhos.
Dicas Adicionais para um Sorriso Perfeito
Além da receita, alguns hábitos são cruciais para a prevenção do tártaro e a saúde geral da sua boca:
- Técnica de Escovação: Evite escovas muito duras e evite fazer muita força na escovação; isso pode gerar processos inflamatórios nas gengivas e a retração. Uma escova de cerdas macias e movimentos suaves e circulares são mais eficazes.
- Fio Dental Diário: O fio dental é o único que alcança a área entre os dentes, removendo a placa que a escova não consegue. É um passo essencial para evitar a formação de tártaro nessas áreas de difícil acesso.
- Alimentação Consciente: Reduza o consumo de alimentos e bebidas açucaradas, que alimentam as bactérias nocivas da boca. Opte por uma dieta rica em fibras, frutas e vegetais.
- Visitas ao Dentista: A visita regular ao dentista é a única forma de remover o tártaro já calcificado. O profissional utiliza ferramentas especiais para uma limpeza profunda, garantindo a saúde e a beleza do seu sorriso.
Conclusão: O Caminho para Dentes Brancos e um Sorriso Saudável
Agora, com o conhecimento sobre a importância de combater o biofilme e a receita caseira em mãos, você tem as ferramentas para assumir o controle da sua saúde bucal. A prevenção é sempre o melhor caminho, e a combinação de uma higiene bucal rigorosa com a aplicação de soluções naturais pode fazer uma diferença notável. Ao entender a ciência por trás da formação do tártaro, você se torna capaz de ir além da escovação mecânica e adotar uma estratégia mais inteligente e eficaz para manter a boca limpa.
Mantenha a escovação adequada e use essa dica que dei para que seus dentes fiquem longe do tártaro. A receita que apresentamos é um poderoso aliado, mas não substitui a visita regular ao dentista, que é essencial para limpezas profissionais e avaliações completas. Com a adoção dessas práticas e a constância na sua rotina de cuidados, você estará no caminho certo para conquistar um sorriso mais brilhante e saudável, livre do tártaro e cheio de confiança.





Gerar Post/Story